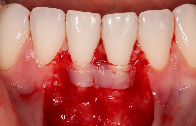
Chirurgie muco-gingivale
Traitement des récessions gingivales
Programme EPP - Audit clinique
6 heures de EPP
Financement DPC : aucun frais pour vous + indemnisation
Prix de la formation
237,60 €Pris en charge à 100% par DPC - aucune avance ni frais pour vous
Vous recevez l'indemnisation DPC de 132,00 €* à la fin de la formation
Action DPC :
* L’indemnisation DPC vous est versée pour compenser le temps consacré à votre formation obligatoire. Sous réserve de validation et en fonction du budget personnel disponible.
Les inscriptions s’effectuent directement sur le site https://www.agencedpc.fr/professionnel/
Elles restent ouvertes jusqu’à la veille du début de la session.
Vous trouverez ici plus de details sur le processus d'inscription
Prochaines dates
1 Mars 2026 - 31 Juillet 2026
1 Avril 2026 - 31 Aout 2026
1 Mai 2026 - 30 Septembre 2026


Maîtrisez la chirurgie muco-gingivale pour le traitement des récessions gingivales
La chirurgie muco-gingivale constitue aujourd’hui un pilier essentiel de la parodontologie moderne. Cette formation DPC pratique et interactive vous permettra de maîtriser les techniques les plus récentes pour répondre aux attentes esthétiques et fonctionnelles de vos patients.
Elle inclut également une Évaluation des Pratiques Professionnelles (EPP) via des vignettes cliniques. À travers des situations réelles et des radiographies, vous serez amené à analyser et appliquer directement les recommandations les plus pertinentes dans votre pratique quotidienne.
Présentation
Au cours de cette formation, vous évaluerez :
Le diagnostic et la classification : identifier les récessions gingivales selon leur pronostic de recouvrement.
La prise en charge : préparer le patient et déterminer les indications appropriées pour la chirurgie muco-gingivale.
Le suivi : évaluer les résultats du traitement et adapter le suivi post-opératoire.
Objectifs pédagogiques
L'intervenant


Dr Rodrigo MARTIN-CABEZAS
Pratique exclusive en parodontologie et implantologie
Ancien AHU Parodontologie - Université de Strasbourg
Ancien Collaborateur Externe - Université de Génève
Acréditation Federation Europeenne de Parodontologie
Docteur en Médecine - Dentaire - Université de Génève
D.U. Parodontologie Clinique - Université de Strasbourg
C.E.S. Parodontologie - Univesité de Strasbourg
D.U. Implantologie Buccale - Université de Lyon
Auteur de plusiers articles scientifiques dans des journaux internationaux à commité de lecture
Auteur du livre "Les maladies péri-implantaires" - JPIO
Conferenciant intérnational
Lauréat de plusieurs prix nationaux et internationaux
FAQ : vos questions sur la formation
Préférez-vous un autre format pédagogique ?
Cette formation DPC est proposée sur plusieurs formats différents, tous 100% remboursés. Choissisez ce qui s'adapte le mieux à vos besoins


